
When you invest in a panoramic X-ray system, image quality is only part of the decision. You need a machine that works consistently, integrates smoothly into your practice, and is supported by people who understand both the technology and the realities of dentistry.
The Panoura 18S is manufactured by Yoshida, a Japanese company with over 100 years of experience and a global reputation for precision and reliability. Its direct conversion sensor technology delivers outstanding diagnostic clarity, helping you make confident clinical decisions with less uncertainty.
ImageWorks supports you from planning through installation and beyond—with honest guidance, technical expertise, and responsive long-term support. No pressure. No guesswork. Just a panoramic system you can trust at a great price.
Learn more
Take a Tour of the Panoura 18S Panoramic Dental X-Ray Machine
![]() | Watch video of Dr. Galletto sharing his experience with ImageWorks customer support with his Panoura 18S pan ceph system. |
![]() | |
![]() |
“These images are awesome”
–Dr. Mark Sheklian, Manasquan, NJ
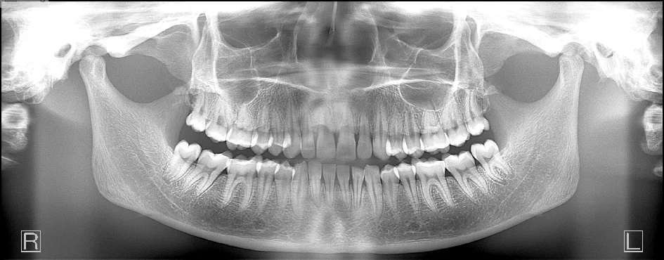
What’s so great about a Direct Conversion Sensor?


Every scan captures over 50 different panoramic layers!
With most panoramic x-ray units, the arch of the patient needs to be exactly where the machine wants: along the path where the beam is focused.
- If positioning is not precise, a poor image can result.
- If the patient shifts slightly during the time the operator walks out to initiate the scan, a poor image can result.
- If the patient’s arch doesn’t match the trajectory of the scan, certain anatomy may not be in focus.
- The emergence profile of the anteriors could make it difficult to capture both mandibular and maxillary apices clearly in the panoramic scan.
The Panoura 18S also has Multi-Focal Plane capture capability. This means that every scan captures many layers both forward and backward. This creates a wide “envelope” where much more data is captured around where the patient is positioned.

Great images even if your staff’s technique is less than perfect!
Read Article: Why Can’t I see the Anterior Apices in My Panoramic?
Read Article: Important Overlooked Questions When Buying a Dental Pan Ceph Machine
Not only Bitewings, but an entire FMX!
Vertical bitewing feature as well as FMX Clipping feature creates 18 intraoral-sized images clipped from the pan with one click.
Ideal tool for patients who won’t tolerate traditional PAs
- Instead of taking 18 individual images with an intraoral X-Ray, they can all be generated at once in 14 seconds.



See the FMX Clipping In Action!
Learn more
Support and Expertise to help you thrive!
We’ve deployed thousands of dental imaging solutions across over 30 years. Whether it’s a technology challenge, or a clinical challenge, our team has seen it all. You will have all that expertise on your team.
Integration is always a key question – because everything has to work well together. Our system is open source, so it is seamless with most other dental systems. In addition, our team has worked with almost every other software and hardware under the sun – so we can also help configure to your staff’s unique needs.
We focus on three things: Great Images, Great Pricing, and No Issues.
For Health Clinics and Medical Centers: Dramatic expansion in your capabilities
Preoperative Surgical Evaluation
Trauma assessment
Emergency patients with severe dental pain or infection
Dental surgery
Some of the esteemed organizations relying on ImageWorks:

Read Article: The Number One Challenge When Adding a Dental Panoramic X-Ray to a Hospital or Urgent Care Clinic
See what our Customers are Saying
“It’s working perfectly. Great machine. No issues. No problems. Thank you so much!” –Dr. Asma Ijaz, North Haven, CT
“The pan is excellent.” — Dr. Maninder Manhiani, Martinez, GA
“My staff loves it and the films are very clear and accurate!” — Dr. Chris Sierk, Tigard, OR
“I want to say thank you for your help in making this process a great experience. It was an excellent experience working with you, and just wanted to take the time to say thank you!” — Dr. Jeff Tibbs, Winston-Salem, NC
“Everything is working great! We placed our first implant yesterday using a scan from the new machine and everything went very well.” — Dr. Jeff Holland, Eureka, CA
“I wanted to introduce Dr xxx, a very good friend of mine, to you since she is in search of some x-ray equipment. I enjoyed working with you during my purchase and hope you can help her address her concerns as well.” — Dr. Fariba Aslemand, Rockville, MD
“We have been loving our pano! Smooth usage and excellent image quality.” — Dr. Ciara Cook, Lebanon, PA
“I just purchased the Panoura 18S from ImageWorks and absolutely love it. The image quality is fantastic, and the image can actually be improved post capture with their software (Focal trough can be altered). I highly recommend it.” –Dr. Craig Smith, Dallas, TX
“I am constantly complimented by other dentists on the quality of our radiographs.” — Dr. Scott Nawy, Timonium, MD
“A very elegant solution for a full mouth series with a simple extra oral scan.” — Dr. Salim Shafi, Phoenix, AZ
“Your customer service is simply outstanding!!” — Dr. Patricia Bobadilla, Miami, FL
Read Article: Gordon Christensen Report showing how the Panoura 18S Compares
FAQ
Will your system work with my software?
What training will be provided?
What happens if we need support?
How do I know it will fit in my space?
Do you offer financing?
The Panoura 18S and its Direct Conversion Sensor will contribute to your practice like no other panoramic x-ray.
If you would like to have
Enormous new diagnostic information unlocked and at your fingertips
All members of your staff fully confident using the tools so they can focus their attention on patients not devices
Full confidence that you have a diligent and experienced support team in your corner to help you succeed
Schedule a 15 minute call with one of our imaging specialists to see how we can assist.
Learn more



